Diagnostyka w fizjoterapii pulmonologicznej – praktyczne zajęcia w ramach studiów podyplomowych FIZJO
W ramach II edycji bezpłatnych studiów podyplomowych „Fizjoterapia w końcowej fazie życia pacjentów z niewydolnością oddechową w warunkach domowych z wykorzystaniem narzędzi telemedycznych (FIZJO)” odbyły się zajęcia z diagnostyki w fizjoterapii pulmonologicznej, prowadzone przez mgr Agatę Gładzką.
Zajęcia poświęcone były kompleksowemu omówieniu metod oceny pacjenta z chorobami układu oddechowego oraz nowoczesnym podejściom do rehabilitacji pulmonologicznej w warunkach domowych. Studenci mieli okazję poznać zarówno podstawy diagnostyczne, jak i praktyczne procedury wykorzystywane w pracy fizjoterapeuty.
Podczas zajęć omówiono kluczowe narzędzia diagnostyczne stosowane w ocenie funkcji oddechowych, w tym:
- Spirometrię wraz ze wskazaniami i przeciwwskazaniami do jej wykonania,
- Bodypletyzmografię,
- Pomiary oporu dróg oddechowych,
- Ocenę zaburzeń oddechowych o charakterze obturacyjnym,
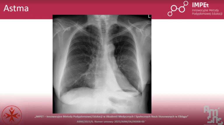
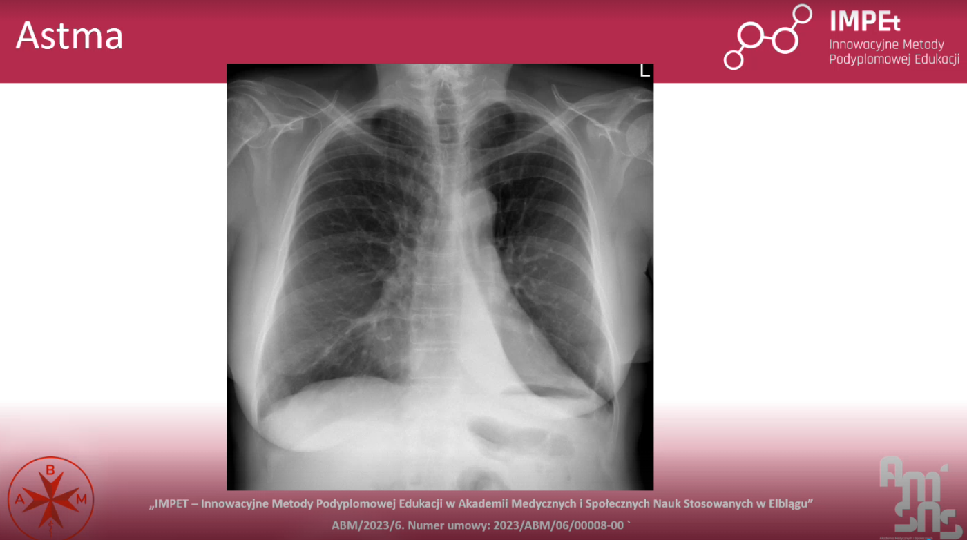
- Diagnostykę chorób, m.in. astmy czy włóknienia płuc,
- RTG klatki piersiowej jako podstawowe badanie obrazowe w pulmonologii.
Zrealizowane zajęcia stanowią ważny element kształcenia w ramach studiów podyplomowych FIZJO, umożliwiając uczestnikom pogłębienie kompetencji w zakresie diagnostyki i terapii pacjentów z niewydolnością oddechową, szczególnie w opiece domowej i paliatywnej. Dzięki praktycznemu charakterowi spotkania oraz połączeniu najnowszej wiedzy z doświadczeniem klinicznym, studenci mogą jeszcze skuteczniej wspierać swoich pacjentów w codziennej pracy zawodowej.
IMPEt – Innowacyjne Metody Podyplomowej Edukacji w Akademii Medycznych i Społecznych Nauk Stosowanych finansowany z budżetu państwa w ramach konkursu Agencji Badań Medycznych.











